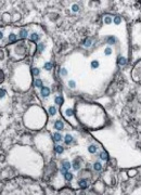
كشفت لجنة مكافحة فيروس كورونا اليوم الأحد، عن شفاء 8 حالات من بين المصابين في محافظتي مأرب والمهرة. نفت تلقيها أي حالات مؤكدة خلال الساعات الماضية، بينما أعلنت وفاة مصاب واحد من محافظة مأرب. واستق...

أعلن البنك المركزي الرئيسي في عدن، اليوم الاحد، توقيف بيع العملات الأجنبية بالمزاد إلى بعد عيد الفطر المبارك. وقال البنك المركزي في اعلان له، إنه يؤجل "مزاد بيع العملة الأجنبية لهذا الاسبوع على أن...

التقى نائب رئيس مجلس الرئاسة العميد أبو زرعة المحرمي مع مدراء الدوائر العسكرية وقائد لواء التدريب ورئيس تحرير صحيفة الجيش في العاصمة عدن. وفي مستهل اللقاء رحب النائب بقيادات الدوائر العسكرية مؤكد اهت...

كشفت لجنة مكافحة فيروس كورونا اليوم الأحد، عن شفاء 8 حالات من بين المصابين في محافظتي مأرب والمهرة. نفت تلقيها أي حالات مؤكدة خلال الساعات الماضية، بينما أعلنت وفاة مصاب واحد من محافظة مأرب. و...

سجل سعر صرف الريال السعودي في السوق المحلية بالعاصمة عدن اليوم الأحد 24 - 4 - 2022، نحو 245 ريالا للشراء بينما سجل 250 ريالا البيع.كما وصل الريال السعودي إلى 248 ريالا للشراء مقابل 253 ريالا للبيع في...

أكد مصدر مسؤول في القوات المسلحة الجنوبية أن اللجان المالية التابعة للقوات المسلحة الجنوبية ستبدأ بتدشين صرف راتب شهرين لكافة أفراد القوات المسلحة الجنوبية والأمن منتصف الأسبوع الجاري. وأوضحت الم...

أبرزت صحيفة عكاظ السعودية إعلان الأمم المتحدة تنظيم مؤتمر دولي لجمع التبرعات لمواجهة تهديد خزان صافر النفطي، 11 مايو المقبل، للمساعدة في منع وقوع كارثة بيئية وإنسانية متمركزة قبالة ساحل الحديدة.يذكر أ...

فككت فرق مشرو ع مسام لنزع الألغام، 4523 لغمًا وذخيرة غير منفجرة وعبوة ناسفة، منذ بداية شهر أبريل الجاري ولغاية يوم 22 منه. ونزعت - بحسب غرفة عمليات مشروع مسام - حوالي 334 ألفا و60 لغمًا وذخيرة غي...

توقع مكتب تنسيق الشؤون الإنسانية في اليمن، اوتشا، تفاقم أزمة الجوع، مشيرا إلى وصولها إلى مستويات خطرة.ورجح أن تصل الأزمة إلى ذروتها خلال النصف الثاني من العام الحالي 2022 بدون تأمين تمويل إنساني إضافي...

توقّع خبراء الأرصاد الجوية، اليوم الأحد، 24 أبريل 2022، اختلافًا في درجات الحرارة المتوقعة على العاصمة عدن وعددٍ من محافظات الجنوب. وفيما يلي بيان بدرجات الحرارة المتوقعة في الجنوب العربي:  ...